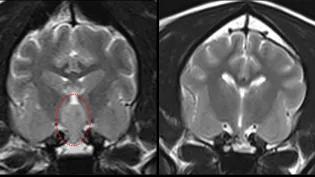
Spaniel makes full recovery after tumour is removed through the top of his mouth. Vets at the Hospital for Small Animals have performed a challenging surgery to remove a dog’s brain tumour.In the complex procedure, veterinary neurosurgeons removed a large mass from the base of a Spaniel’s brain, through a small hole in the top of his mouth. The Hospital is the first in Scotland, and one of only five centres in the UK, that has successfully performed surgery of this kind in dogs. It is also one of a handful in Europe that offer both radiotherapy and surgery as treatment options for cats and dogs with tumours of this type. Complex caseLordy, an eight-year-old cocker spaniel, was referred to the Hospital’s Neurology Service with multiple complex neurological problems.An MRI scan identified a large tumour on Lordy’s pituitary gland, at the base of his brain. Further tests confirmed that Lordy also had Cushing’s syndrome, a potentially fatal condition involving over-production of a key hormone, due to the mass. Magnetic Resonance Imaging (MRI) of Lordy’s brain before (left) and after (right) surgery. The pituitary tumour is encircled (red). Specialist surgeryA follow-up CT scan suggested that the tumour was growing and could invade other parts of Lordy’s brain and spinal column, which could lead to additional problems. In consultation with the dog's owners, it was agreed that the best option for Lordy was for vets to surgically remove the tumour in a procedure known as a transsphenoidal hypophysectomy. In preparation for this technically challenging surgery, a 3D-printed model was produced using CT images of Lordy’s brain and tumour. This was fitted onto the roof of Lordy’s mouth during surgery, to help the vets locate the best access point to locate the tumour during the operation. Surgeons then drilled a 5mm hole through Lordy’s soft palate and the base of his skull, allowing them to access and remove the tumour.Positive outcome Lordy was under the watchful eye of the Hospital’s Anaesthesia and Emergency and Critical Care Services both during and after surgery. The spaniel recovered quickly and was discharged three days later. Follow-up MRI scans three and six months later showed no sign of the tumour or damage to brain tissues. Lordy remains a regular visitor to the Hospital’s Internal Medicine Service, for continued monitoring and care. We are pleased that Lordy’s surgery was a success. His care required a multidisciplinary approach and involved colleagues from the Anaesthesia, Internal Medicine and Emergency Critical Care Services at the Hospital. Dr Aran Nagendran Co-Head of Neurology Service and Specialist in Veterinary Neurosurgery, Dick Vet Hospital for Small Animals. We are delighted that Lordy’s Cushing’s syndrome has been resolved due to this surgery. He has made great progress since his operation and we are happy to supply ongoing care. Dr Alisdair Boag Specialist in Small Animal Medicine, DicK Vet Hospital for Small Animals We are eternally grateful to everyone involved in Lordy’s care. Since his surgery he has bounced back to be the same energetic little monster he was as a young dog, bringing us love and joy every day. Lordy’s owners About the Royal (Dick) School of Veterinary Studies The Royal (Dick) School of Veterinary Studies is a one-of-a-kind centre of excellence in clinical activity, teaching and research. Our purpose-built campus, set against the backdrop of the beautiful Pentland Hills Regional Park, is home to more than 800 staff and almost 1400 students, all of whom contribute to our exceptional community ethos. The School comprises: The Roslin Institute The Roslin Innovation Centre The Hospital for Small Animals Equine Veterinary Services Farm Animal Services Easter Bush Pathology The Animal Welfare Centre We represent the largest concentration of animal science-related expertise in Europe, impacting local, regional, national and international communities in terms of economic growth, the provision of clinical services and the advancement of scientific knowledge. Tags Small Animals Publication date 10 Mar, 2025