Ultrasonography

Ultrasonography utilises high frequency sound waves to image internal body structures in real time.

This is a key diagnostic technique in the hospital and the technology has advanced to such a degree that we are able to image blood flowing within the heart and accurately assess collagen fibre misalignment in tendons.

Thoracic and abdominal ultrasonography

Ultrasound is an extremely useful tool in the evaluation of colic, both acute and chronic. In addition abnormalities may be detected in cases such as weight loss, peritonitis, and urinary problems.

Image
Ultrasound images of abdomen

Ultrasound images of normal abdomen showing spleen small intestine and large intestine on the left side of the abdomen (left image) and liver against the large bowel on the right side of the abdomen (right image).

Sound waves pass very poorly through air, therefore only information about the surface of the lungs is obtainable in normal horses. Where there is an accumulation of fluid around the lungs however (pleural effusion), ultrasound allows us to evaluate the chest and safely drain any fluid.

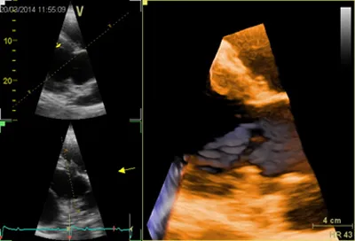
Cardiac ultrasonography

Sophisticated two-dimensional and Doppler echocardiography (Vivid E9, Vingmed) is used to assess cardiac size, indices of systolic and diastolic function and the presence of congenital abnormalities.

Colour flow and spectral Doppler echocardiography are exquisitely sensitive techniques for evaluating and assessing the severity of murmurs caused by valve regurgitation or congenital defects.

We have the most up to date ultrasound machine currently available (Vivid E9) and its real-time three dimensional capabilities are currently being used to evaluate heart valves and chambers in real time.

Image
3d image of the left ventricular outflow tract

3 dimensional image of the left ventricular outflow tract. The left coronary cusp of the aortic valve is visible (red arrow) and to the right of this is the inside wall of the aorta. To the left is the underside (i.e. from the ventricle side) of the anterior leaflet of the mitral valve (red dashed arrow). Angles such as this are impossible to achieve with 2 dimensional imaging and will hopefully allow us to identify cardiac pathology in more detail.

Musculoskeletal ultrasonography

Ultrasound can be used to obtain images of orthopaedic soft tissues in horses, such as tendons and ligaments. Some of the larger joints as well, such as the stifle, are frequently evaluated by ultrasonography. We also use ultrasound imaging to investigate wounds and even for fractures of the pelvis.

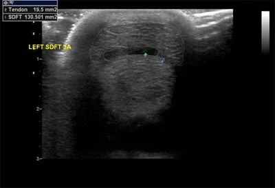
Tendon injuries are common causes of lameness, particularly in racehorses. Ultrasound imaging is used to grade the severity of the injury and to monitor healing and response to treatment, to enable us to advise the owner or trainer when it is safe to return the horse to ridden exercise.

Image
Eccentric lesion in the superficial digital flexor tendon (SDFT)

Eccentric lesion in the superficial digital flexor tendon (SDFT). The SDFT is drawn around in blue while the area of this lesion is demarcated in green.