Measuring Bone Density

Assessing Bone Density in Companion Animals

Image
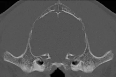
CT image dog Healthy skull
Healthy dog skull

The assessment of bone density in people is a commonly undertaken to evaluate bone health in patients at risk of bone loss through diseases such as osteoporosis.

Image
CT image dog unhealthy skull
Unhealthy dog skull

These approaches are under-developed for veterinary patients. Consequently, we have developed a Computed Tomography based approach that allows us to screen dogs for low bone density and have a developed a novel osteodensitometry to objective quantify the density of bones. The bottom figure is a CT image of a dog skull showing that the skull is very thin when compared to a healthy skull on the top.