mirVET Laboratory

We have developed a novel test to detect liver damage in dogs.

Image
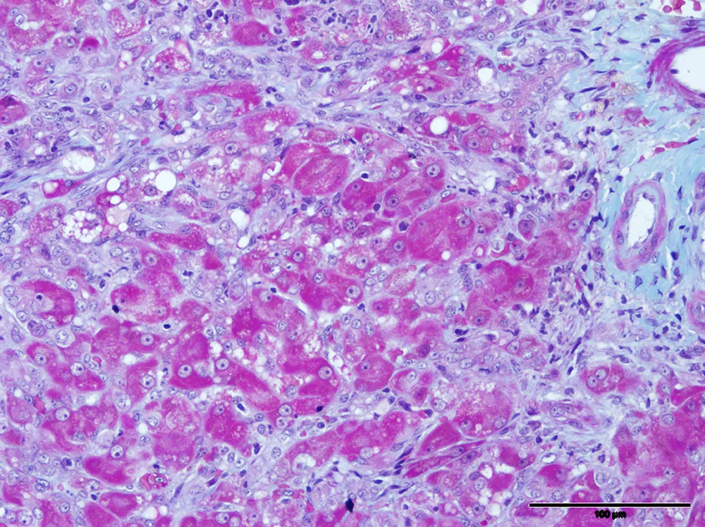
Presence of Systemic Inflammatory Response Syndrome Predicts a Poor Clinical Outcome in Dogs with a Primary Hepatitis

We have a particular research interest in microRNAs (miR) and their potential use as novel diagnostic tests. Some miR are released following tissue damage and can then be quantified in blood samples.

Image
Presence of Systemic Inflammatory Response Syndrome Predicts a Poor Clinical Outcome in Dogs with a Primary Hepatitis
Presence of Systemic Inflammatory Response Syndrome Predicts a Poor Clinical Outcome in Dogs with a Primary Hepatitis

This allows internal organ damage to be detected early in the disease process and without the need for an invasive biopsy. One example of this work is our discovery that miR-122 is an accurate test for the detection of liver disease in dogs

Read the original research