Ultrasonography including contrast-enhanced ultrasound examinations

Ultrasound is an important tool to non-invasively assess inner structures of organs.

Image
Contrast-enhanced ultrasound of the small intestine.
Contrast-enhanced ultrasound (CEUS) image of the small intestine. The left panel (grey colourings) shows the standard image, the right panel (golden colourings) the contrast, which helps assessing perfusion.

For our DIGEST clinic patients, this is pertinent both to exclude certain causes as well as finding causes and looking at the finer structure for example of the intestinal wall. Ultrasound is always performed by one of our Diagnostic Imaging specialists or trainees (residents) under supervision of those specialists.

Recently, the Hospital has acquired the software to perform contrast-enhanced ultrasound (CEUS) examinations, which are already widely done in humans and in certain animal conditions.

For this, a harmless contrast media that consists of microscopic "bubbles" is administered intravenously (into the vein). The bubbles enhance features of certain structures of organs within minutes after administration. They are then eliminated from the body by "breathing them off" within another 10 minutes.

The usefulness of this new technique to determine causes of gastrointestinal problems in dogs and cats is still under investigation. The DIGEST clinic is currently conducting a study to gain more knowledge from this type of ultrasound, and are inviting owners of all dogs with gastrointestinal problems to participate (see Research).

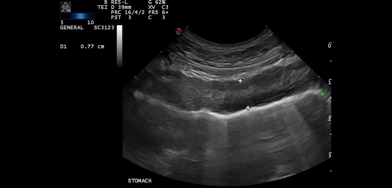
Image
Ultrasound image of the stomach wall of a dog.
Ultrasound image of the stomach wall of a dog.