Double radiotherapy success for arthritic dog with cancer

Leading oncology centre uses radiation treatment to help Ladrador with thymoma and severe joint pain

Image
Golden labrador retriever on beach with a woman kneeling down in the sand
Bailey is back to full health after radiotherapy to treat his cancer and arthritis

Bailey, an 11-year-old Labrador Retriever has been successfully treated with radiation therapy twice, to treat a rare cancer and arthritis in his elbow joints.

The dog was referred to the Hospital’s Riddell-Swann Veterinary Cancer Centre last year after his vet diagnosed a thymoma.

A CT scan showed that Bailey’s thymoma was more than 15cm in size and was pressing on his heart, trachea and oesophagus. The tumour also led him to develop paraneoplastic hypercalcaemia which had to be addressed before treatment for the tumour could begin.

Surgery to remove the tumour was not an option as the tumour had invaded the surrounding structures in Bailey’s thorax. Radiotherapy was therefore considered to be the best option for him.

Radiotherapy success

Image
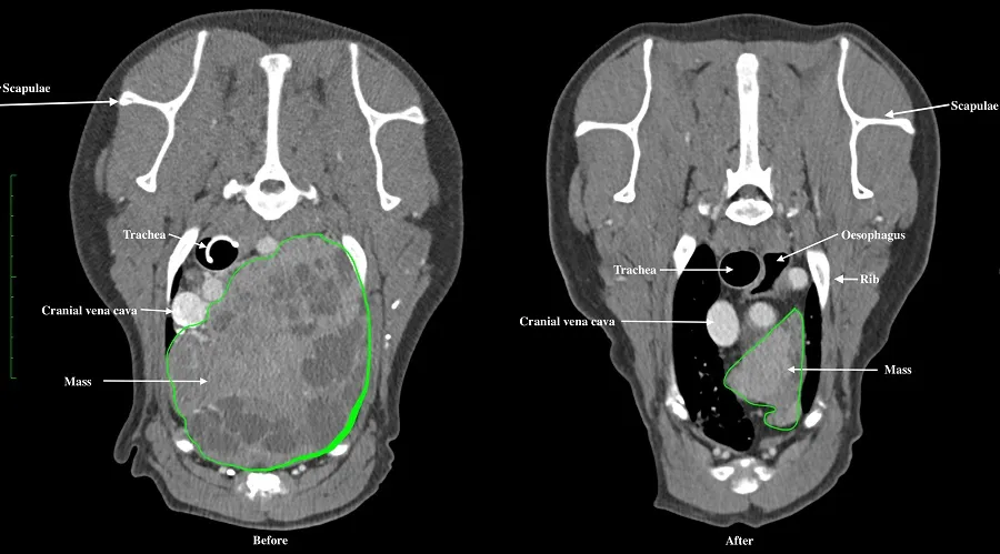
images showing abdomen of dog before and after radiotherapy
Images before and after treatment show that radiotherapy has reduced the size of Bailey's tumour (outline shown in green) by more than 50 per cent

Bailey received 20 fractions of radiotherapy as an out-patient over a four-week period using the Hospital’s VitalBeam linear accelerator. Cone beam CT was performed on a daily basis to verify patient position, so that treatment could be applied with millimetre accuracy.

Bailey was discharged back into the care of his owner and own vet after his final radiotherapy session, with checks every three months at the Hospital to monitor the size of the tumour.

Nine months after the final radiotherapy session, Bailey’s tumour continues to get smaller and is now less than 50 per cent of its original size. Bailey’s calcium levels have also remained normal since treatment. Radiotherapy has reduced the size of Bailey’s thymoma by more than 50 per cent.

Severe arthritis

Bailey was referred to the Hospital for a second time earlier this year, due to his severe arthritis that was not responding to traditional medical management. His mobility was limited, and he was in a lot of pain.

Targeted radiation therapy has also been shown to significantly reduce inflammation in the joints and the pain associated with arthritis. Bailey therefore received three sessions of low-dose radiotherapy over the course of a week on both his elbows.

Since his radiotherapy, Bailey’s mobility and quality of life have significantly improved. Closer to his home he also attends hydrotherapy and physiotherapy to help maintain his joint function in the future.

Cancer expertise

The Riddell-Swan Veterinary Cancer Centre is one of the largest oncology centres in Europe, with three boarded radiation oncologists, four boarded medical oncologists, residents and interns.

It offers a full range of diagnostic and therapeutic options including surgery, radiation therapy, chemotherapy, immunotherapy and targeted medical therapy, and it accepts referrals from vets across the UK.

About the Royal (Dick) School of Veterinary Studies  

The Royal (Dick) School of Veterinary Studies is a one-of-a-kind centre of excellence in clinical activity, teaching and research. Our purpose-built campus, set against the backdrop of the beautiful Pentland Hills Regional Park, is home to more than 800 staff and almost 1400 students, all of whom contribute to our exceptional community ethos.  

The School comprises:  

The Roslin Institute    

The Roslin Innovation Centre  

The Hospital for Small Animals  

Equine Veterinary Services  

Farm Animal Services  

Easter Bush Pathology  

The Animal Welfare Centre  

We represent the largest concentration of animal science-related expertise in Europe, impacting local, regional, national and international communities in terms of economic growth, the provision of clinical services and the advancement of scientific knowledge. 

Tags

HfSA Vet