Towards genetic resistance to Bonamia in European oyster

AquaLeap representatives from the University and industry outline their method for studying this pervasive disease.

10/12/2021

The AquaLeap consortium project is comprised of five teams, which combine university, government, and industry scientists. Each team pursues objectives related to advancing selective breeding in several UK aquaculture species. Since it began in January of 2019, some exciting progress has been made, and we are happy to provide some further updates.

The following report presented by Tim Bean and Postdoctoral Research Fellow Carolina Peñaloza alongside Chantelle Hooper of Cefas discusses their ongoing research into the European oyster and gaining insight into genetic resistance to disease—a major challenge for European aquaculture which they hope to help mitigate with modern genetics technologies.

Each oyster used in the disease challenge is tagged with a unique identifier for further study.
Disease challenged oysters, each tagged with a unique identifier.

Understanding the genetics of Bonamia infection or resistance in native oysters

Report by Tim Bean (University of Edinburgh), Carolina Peñaloza (University of Edinburgh), and Chantelle Hooper (Centre for Environment, Fisheries, and Aquaculture Science)

The native European oyster (Ostrea edulis) has been in decline for many years due to the pressures of overfishing, pollution and disease. Perhaps the most enduring issue is that of the pathogen Bonamia ostreae, a microcell parasite that infects the blood cells of the oyster and can cause widespread mortalities across all age groups, but in particular among mature animals.

The parasite has been present around the British Isles for over 40 years and some populations of oysters are now able to maintain a level of stability in the presence of the parasite. These populations are not back to pre-disease production but, nonetheless, data suggests there may be a genetic element to the development of this tolerance. In AquaLeap, we aim to understand this tolerance with a combination of disease challenge and analysis with our bespoke genetics toolbox.

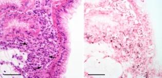
By blue-staining an infected oyster's histology tissue, researchers can determine where Bonamia is present.
Histological images of oyster tissue infected with Bonamia, the parasitic disease threatening European oysters. On the left is a study of a histology section of a challenged oyster; the small cells (microcells) highlighted by arrows are Bonamia. This was determined through the method shown in the righthand image, which shows the same region hybridised with a Bonamia DNA probe; blue staining shows the presence of the parasite, confirming that the microcells are Bonamia. Scale bars = 50 µm.

We have taken oysters from farmed populations and used a laboratory challenge system to assess their success in the presence of the pathogen. We are now comparing the genetic background of the survivors to the genetic background of the mortalities to identify areas of the genome that may be associated with either survival (or lack of infection, with the parasite).

Our preliminary results indicate that disease resistance against Bonamia has a polygenic architecture. This means that the observed variation in the trait (for instance, some individuals have a higher parasite load than others) is controlled by many loci with small effects. With this information in hand, we are now looking to develop methods to enrich populations with animals that hold the key to surviving this deadly disease.

You can read more about the University's work on Bonamia through this news story link.

Here is another histology section from a challenged oyster, heavily infected with Bonamia. Microcells (highlighted by arrows) are Bonamia.

You can find more information about Dr Tim Bean and Dr Carolina Peñaloza via our People page.

Reports from earlier in the AquaLeap project are accessible via the AquaLeap 2020 Newsletter.

Readers can find recent news and updates on the AquaLeap consortium project through its Twitter account, available via this external link.